Featured
- Get link
- X
- Other Apps
Osteoarthritis Of The First Metatarsophalangeal Joint
Osteoarthritis Of The First Metatarsophalangeal Joint. 8 furthermore, reduced flexibility and mobility in seniors can result in limitations affecting not only the movements and locomotion. When a person walks, their body weight passes through the hip, then the knee, then down to the foot.

This cohort of women, aged 45. Related to trauma or previous fracture/dislocations, or abnormal joint position as in hallux valgus (bunions) When the bones, ligaments, and tendons in an mtp joint are exposed to high.
Cherry L, Gates L, Arden Nk, Bowen Cj J Foot Ankle Res 2020 Oct 1;13(1):61.
Lifetime occupation is not associated with radiographic osteoarthritis of the first metatarsophalangeal joint in a cohort study of uk women. The patient is an active duty military service member who continues to be physically active both at work and recreationally. The knee and hip are considered the most commonly affected lower limb joints [], however recent population data showed that symptomatic radiographic oa of the first metatarsophalangeal (mtp) joint affected 7.8% of people aged over 50 years, making it as.
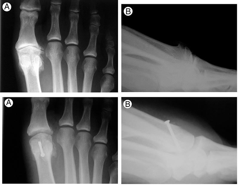
Osteoarthritis Of The First Metatarsophalangeal Joint (1St Mtp Joint Oa) Is A Common And Disabling Condition That Results In Pain And Limited Joint Range Of Motion.
This condition is also more prevalent in those who You see a 45‐year‐old female patient in your office with a painful 1st metatarsophalangeal (mtp) joint. It is more common in individuals who are 45 to 64 years of age and among people of all races.
Oa Of The First Metatarsophalangeal Joint (Mpj) Of The Big Toe/Great Toe Is A Common Condition (Hallux Limitus/Rigidus) Marked By Pain, Stiffness, And Impaired Ambulation.
Osteoarthritis of the first metatarsophalangeal joint overview osteoarthritis of the first metatarsophalangeal joint severe joint pain is one of the most common ailments among older adults. Foot pain is a frequent clinical concern. Sometimes patients are told they have a bone spur there, but the real problem is arthritis.
Related To Trauma Or Previous Fracture/Dislocations, Or Abnormal Joint Position As In Hallux Valgus (Bunions)
What are the symptoms of oa in the toe? This is a fairly common condition in which the patient presents with pain and inflammation in an enlarged 1st mtp joint. It's good to know, too, that the first metatarsophalangeal joint is commonly known as the big toe joint while the little toe joint is known as the fifth metatarsophalangeal joint.
The Patient May Also Complain Of Dull, Aching Pain At Night When There Is Significant Inflammation.
Individuals with hr experience stiffness and joint pain which is worsened by. It is more common in individuals who are 45 to 64 years of age and among people of all races. 1st mtp joint oa is characterised by.
Comments
Post a Comment