Featured
- Get link
- X
- Other Apps
Ankylosing Spondylitis Si Joint
Ankylosing Spondylitis Si Joint. Ankylosing means stiff or rigid, spondyl means spine, and itis refers to inflammation. Ankylosing spondylitis is a form of chronic inflammation of the spine and the sacroiliac joints.

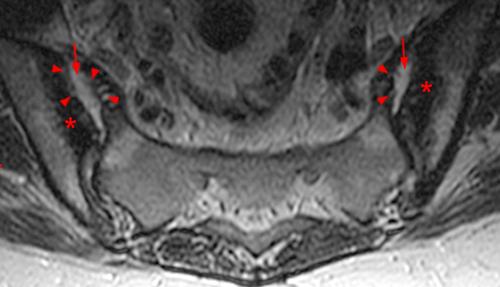
Magnetic resonance imaging has proved useful for visualising inflammation in the sij. The si joints are located at the base of the spine, where the spine joins the pelvis. Other joints can be affected as well.
More Information On Ankylosis And.
Enthesitis can cause tenderness or pain and may be called hot spots. the chronic inflammation can lead to bone. Hip pain is a common symptom of ankylosing spondylitis (as) and can affect mobility and quality of life. Sacroiliitis is often an early symptom of.
In Its Early Stages, Ankylosing Spondylitis (As) Is Often Found Impacting The Location Where Your Spine Connects To Your Pelvis, Also Known As Sacroiliac Joints.
Radiographic axial spondyloarthritis is also known as ankylosing spondylitis (as). The authors report the case of a young male athlete whose symptoms were initially incorrectly diagnosed as sacroiliac joint instability and dysfunction and. This condition is known as spondylitis.
As Causes Chronic Inflammation Of The Affected Joints Where The Ligaments And Tendons Attach To The Bone, Called Enthesitis.
The disease causes inflammation of the spine and large joints, resulting in stiffness and pain. Involvement of the spine and sacroiliac (si) joints, peripheral joints, digits, entheses are characteristic of the disease. Ankylosing spondylitis frequently attacks the sacroiliac structure as one of its preliminary anatomical targets.
Ankylosing Spondylitis Is A Form Of Arthritis That Primarily Affects The Spine Or The Sacroiliac Joints, Which Is Where The Spine Connects To The Pelvis.
This can occur in the sacroiliac joints and spine (and is identical to ankylosing spondylitis) and/or in the smaller joints of the extremities (knee, ankle, feet, hands etc). The disease may result in erosion at the joint between the spine and the hip bone. In fact, many people receive a diagnosis of ankylosing spondylitis after suffering their first symptoms in the.
The First Symptom Of Ankylosing Spondylitis Is Typically Sacroiliitis, The Inflammation Of The Entheses At The Sacroiliac Joint.
Ankylosing spondylitis (as) inflames the sacroiliac joints located between the base of the spine and pelvis. Ankylosing spondylitis (as) usually affects the spine, but other joints in the body can also be affected. Sacroiliac spondylitis is an inflammatory, autoimmune form of arthritis that can cause big problems in the si joint.
Comments
Post a Comment