Featured
- Get link
- X
- Other Apps
Acromioclavicular Joint Sticking Out
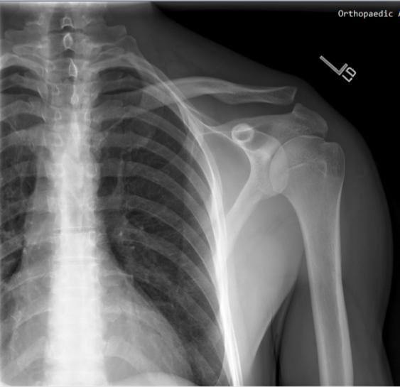
Acromioclavicular Joint Sticking Out. The ac joint is formed by the junction of the lateral clavicle and the acromion process of the scapula and is a gliding, or plane style synovial joint. May be the only finding in type i injuries.

The joint literally wears out, develops extra bone (spurs and osteophytes). With an ac joint sprain, these ligaments may be partly or fully torn. An injury to the ac joint is common, often caused by a blow to the shoulder or a fall onto an outstretched hand.
The Second Bone Is Actually Part Of The Shoulder Blade (Scapula), Which Is The Big Bone Behind The Shoulder That Also Forms Part Of The Shoulder Joint.
The ligaments should heal by 3 months and at which point a strengthening program may be commenced. Apply it for around 20 to 30 minutes directly to the joint either by using an ice bag. Also labeled are the humeral head (hh), the glenoid, the coracoid process (cor) and the spine of the.
The Static Linkage Of The Lateral Clavicle To The Upper Extremity Is Via The Coracoclavicular And Acromioclavicular Ligaments As Well As The Joint Capsule.
Putting your arm in a sling to decrease motion. Making changes to the amount of overhead activities you do can ease the pain. The very bottom are the xrays before and after surgery.
The Acromioclavicular Joint Is Located At The Top Of The Shoulder.
Moving your arm sideway, lifting arm above head. When the ligament tears, your collarbone may move out of its normal place and stick up under the skin just below your shoulder. Pain in this joint can occur if you carry out a lot of activities that require you to lift your arms above your head.
Damage To Either Of These Joints Can Lead To.
The acromioclavicular ac joint capsule is It is the junction between the acromion (part of the shoulder that forms the highest point of the shoulder) and the clavicle. The acromioclavicular, or ac, joint is a joint in the shoulder where two bones meet.
The Acromioclavicular Joint, Or Ac Joint, Is One Of Four Joints That Comprises The Shoulder Complex.
Hold onto a stick/ umbrella/golf club or similar if you find this helpful. This joint, like most joints in the body, has a cartilage disk or meniscus inside and the ends. The ac joint is made of 4 ligaments that hold the collar bone to the shoulder blade, or scapula.
Comments
Post a Comment